BARO DENTAL CLINIC
심미보철
보철치료는 치아가 손상되거나 상실되었을 때 인공 보철물로 대체함으로써
원래의 치아의 기능 즉, 저작기능 뿐 아니라 발음과 심미성까지 회복시켜주는 치료입니다.
-
-
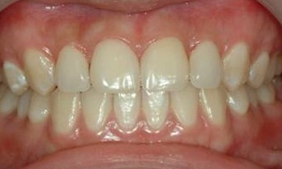
라미네이트
연세바로치과의 라미네이트는 환자분에게 어울리는 결과를 우선적으로 생각합니다. 치아색 뿐 아닌 피부색, 환자분의 얼굴라인에 어울리도록 디자인해드립니다. 치아의 형태 뿐 아닌 전체적인 이미지까지 개선되는 라미네이트를 만나보세요.


