BARO DENTAL CLINIC
-
-
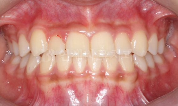
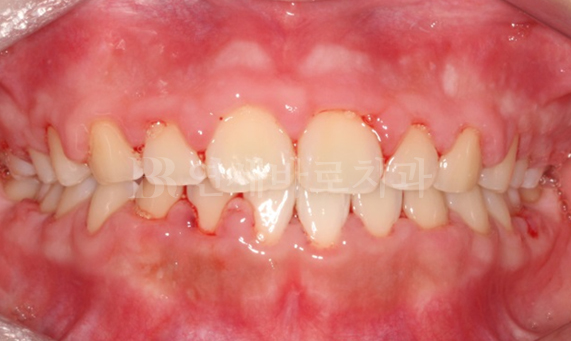
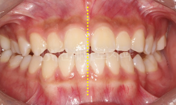
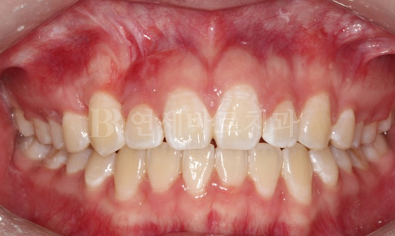
돌출입 교정
앞니와 잇몸이 정상 범위에 비해 앞으로 나와 있는 형태를 말합니다. 돌출입인 경우, 편하게 입을 다물지 못할 뿐 아니라 외관상 퉁명스러운 인상을 주게 되어 표정관리에도 늘 신경을 써야 하는 경우가 많이 있습니다.
돌출입 교정 효과
-
슬림한 턱선
-
코가 높아보이는 효과
-
뚜렷해지고 얇아지는 입술
돌출입 교정 추천대상
-
01
위 아래 앞니가 뻐드러져 있어
입술이 두꺼워 보이는 경우 -
02
입에 힘을 주지 않으면
입술이 닫히지 않는 경우
-
03
입술을 다물려면 힘이 들어가고
턱 끝에 주름이 생기는 경우 -
04
남들에게 퉁명스러운
인상을 주는 경우
돌출입 교정 CASE
-
-
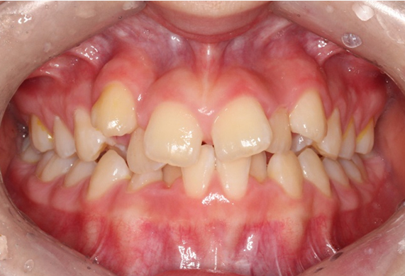
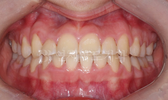
덧니 교정
치아가 나올 때 턱뼈가 작거나 치아 사이의 공간이 부족할 때 치아 배열에서 벗어난 곳에 나는 치아를 말합니다. 특정 치아 뿐 아니라 여러 치아가 전체적으로 조금씩 삐뚠 치아도 일종의 덧니라고 볼 수 있습니다.
덧니 교정 효과
-
호감형 인상
-
충치&잇몸 질환 예방
-
자신감 상승
덧니 교정 CASE
-
연세바로치과는 치료법을 준수합니다. 로그인 하시면 Before를 보실 수 있습니다. LOGIN
-
-
-
주걱턱 교정
주걱턱은 아래턱이 위턱보다 앞으로 나온 경우를 말합니다. 교합이 맞물리지 않아 음식을 베어먹기 힘들고 발음에 어려움이 있으며 비대칭, 턱관절 통증 및 장애를 동반하기도 합니다.
주걱턱 교정 효과
-
얼굴 축소 효과
-
저작 기능 완화
-
부정확한 발음 개선
-
구강호흡증상 완화
주걱턱 교정 CASE
-
-
무턱 교정
아래턱이 작아서 턱 끝이 정상보다 후방에 위치하는 것을 무턱이라고 합니다. 위턱은 정상이나 아래턱이 작은 경우와 위턱은 앞으로 나오고 아래턱이 정상인 경우는 외모상으로는 거의 비슷해 보이기 때문에 정확한 진단과 치료 계획이 필수적입니다.
무턱 교정 효과
-
긍정적인 턱 라인 변화
-
정상적인 저작 기능
-
자연스러운 입 모양
-
과다한 잇몸 노출 개선
무턱 교정 CASE
-
-
비대칭 교정
얼굴 중심선을 기준으로 좌우 균형이 어긋나 있거나 대칭이 되지 않는 경우를 말합니다. 일반적으로 치아 또는 얼굴 형태와 같이 삐뚤어져 있는 경우가 많으며, 주걱턱, 무턱 증상과 동반되어 나타나는 경우가 많습니다.
비대칭 교정 효과
-
턱관절 치료로 턱 통증 개선
-
얼굴 윤곽의 변화
-
치아 교합 및 이목구비 위치 개선
비대칭 교정 CASE
-
-
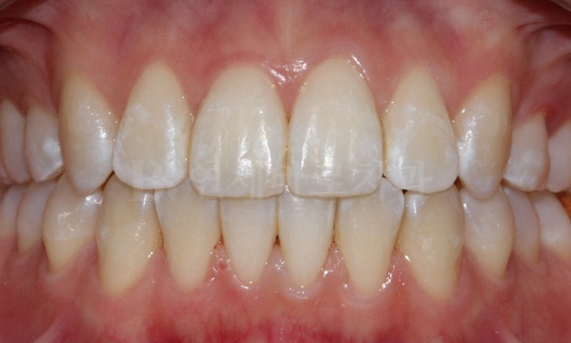
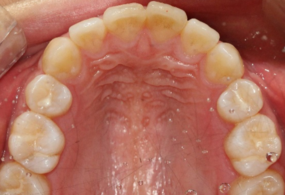
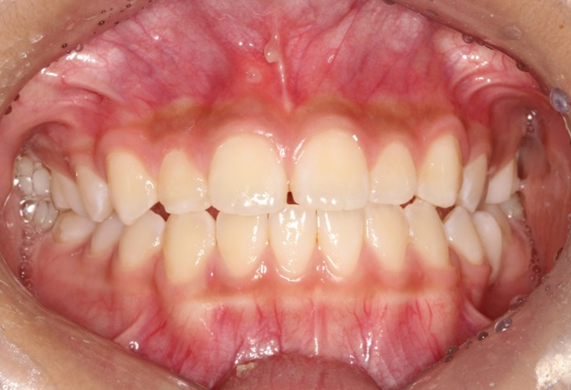
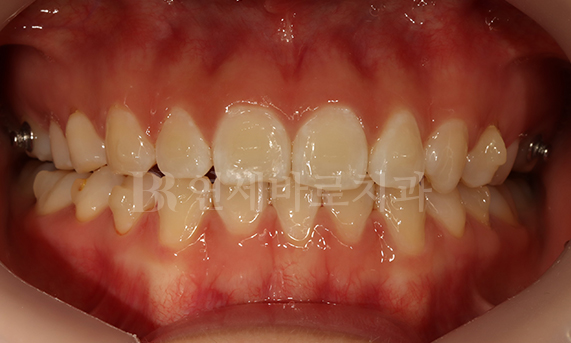
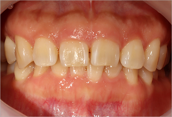
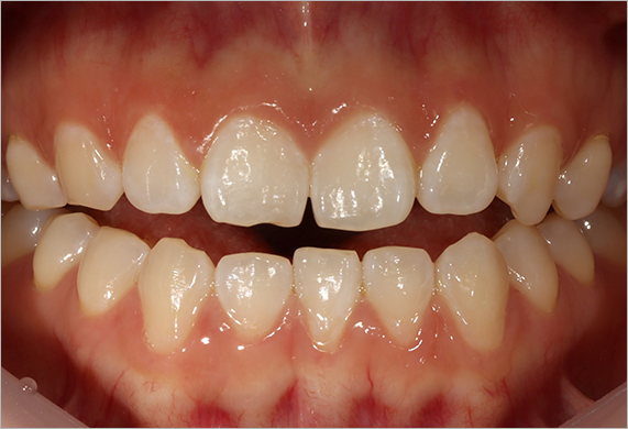
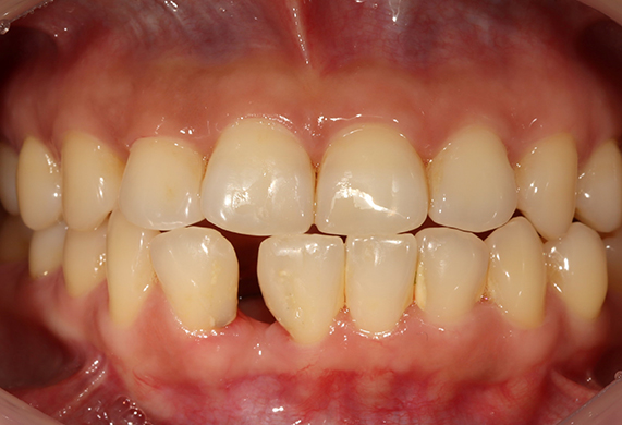
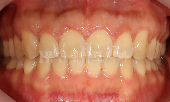
앞니 벌어짐
앞니가 마음에 안들 때 부분교정으로 해결할 수 있습니다. 부정 교합은 주로 잇몸의 공간이 부족하여 생기지만, 공간이 오히려 남아서 치아 사이가 벌어지는 경우도 있습니다. 적절한 위치를 중심으로 치아를 모아주는 치료를 해야 합니다.
앞니 벌어짐 교정 효과
-
정상적인 저작기능
-
공간 치열 개선
-
자연스러운 입 모양
-
부정확한 발음 개선
앞니 벌어짐 교정 CASE
-
연세바로치과는 치료법을 준수합니다. 로그인 하시면 Before를 보실 수 있습니다. LOGIN
-
-
-
개방교합
위아래 치아를 맞물었을 때 어금니는 물리지만 앞니는 물리지 않고 열려있는 상태가 되는 것을 개방교합이라고 합니다. 얼굴이 긴 분에게 많이 나타나는 부정교합으로 성장기에 예방을 해주는 것이 가장 이상적이나 심해지면 발치교정을 요하는 경우가 많습니다.
개방교합 교정 효과
-
발음 개선
-
올바른 교합 회복
-
편안한 저작력
-
페이스라인 개선
개방교합 교정 CASE
-
연세바로치과는 치료법을 준수합니다. 로그인 하시면 Before를 보실 수 있습니다. LOGIN
-
-
-
과개교합
위아래 치아를 맞물렸을 때 위 앞니가 아래 앞니를 과도하게 덮을 경우 과개교합이라고 합니다. 미관상으로는 확연하게 드러나지 않을 수도 있지만 아래 앞니의 마모가 나타나고 잇몸이 나빠질 수 있으니 반드시 교정치료가 필요합니다. 사각 턱이신 분에게 많이 나타나는 부정교합 중 하나로 치료 후 턱 라인도 가름하게 하는 효과를 동시에 얻을 수 있습니다.
과개교합 교정 효과
-
잇몸, 턱관절 건강 회복
-
갸름해진 턱 라인
-
편안한 저작력
-
발음개선
과개교합 교정 CASE
-
연세바로치과는 치료법을 준수합니다. 로그인 하시면 Before를 보실 수 있습니다. LOGIN
-
-
-
매복치
매복치는 여러 가지 원인에 의하여 치아가 나와야 할 시기가 지나도록 잇몸 안에서 못 나오고 있는 것을 말합니다. 좌우 치아가 나는 시기가 6개월 이상 차이가 나면 한 번쯤 치과에서 방사선 사진 촬영 검사를 받아볼 필요가 있습니다.
매복치 교정 효과
-
저작기능 회복
-
보철치료에 비해 심미적인 효과
-
치열 무너짐 방지
-
보존 치료 중 가장 뛰어난 효과
매복치 교정 CASE
-
-
부분교정
발치 없이 기존의 어금니 교합은 유지하면서 교정이 필요한 앞니만 장치를 부착하여 교정하는 방식입니다. 짧은 기간안에 원하는 결과를 얻을 수 있어 만족도가 높은 치료입니다.
부분교정 추천대상
-
01
고르지 못한 앞니만
가지런하기를 원하는 경우 -
02
앞니 사이가 벌어져
공간이 생긴 경우
-
03
짧은 기간 동안만
교정을 원하는 경우 -
04
치아 하나가 빠진 후 시간이 지나
주변 치아들이 쓰러진 경우
교정 진행 전 체크 사항
대표 원장이 직접 교정하나요?
교정 전문의가 교정하나요?
교정 전문의가 치과에 상주하나요?
정밀한 진단을 위한 디지털 장비가 다양한가요?
정품 재료를 사용하나요?
치아교정 보증시스템이 있나요?
부분교정 CASE
연세바로치과 교정의 특별함
-
-
대한민국 교정전문의 책임교정
연세바로치과 대표원장은 치과교정과 전문의입니다. 교정전문의의 책임교정을 보여드립니다.
-
-
통합적으로 고려한 치료계획 수립
연세바로치과는 각 분야 별 전문의 협진으로 전 과목 통합적으로 고려한 진료가 가능합니다.
-
-
풍부한 임상증례
풍부한 임상증례 바탕으로 만들어진 노하우. 과잉 진료 없는 치아교정의 정석을 보여드립니다.
-
-
디지털 장비를 활용한 프리미엄 교정
연세바로치과는 대표원장의 수년간 노하우와 다양한 디지털 장비를 활용한 1:1 맞춤형 프리미엄 교정입니다.















