BARO DENTAL CLINIC
성장기 교정
-
-
소아교정
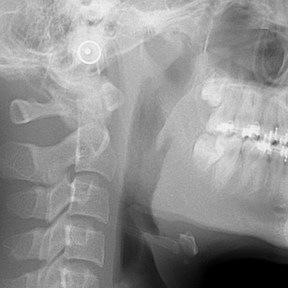
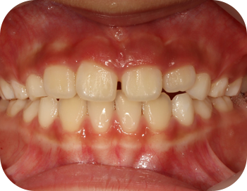
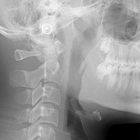
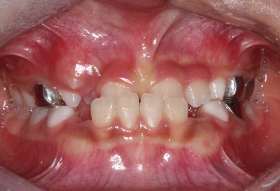
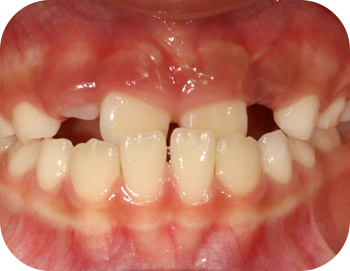
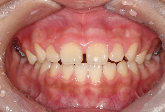
얼굴 골격의 성장에 문제가 있는지를 파악하기 위한 적절한 시기는 초등학교 입학 전인 6-7세경입니다. 이때는 유치에서 영구치로 교환되는 시기로서 부정교합 여부가 결정되는 중요한 시기이므로 이 시기를 잘 관찰하여 부정교합을 예방하는 것 또한 중요합니다. 교정의 정확한 시기는 6개월 간격으로 치과에 정기적으로 내원하여 성장 분석을 받은 후 결정하는 것이 좋습니다.






