본문 바로가기

BARO DENTAL CLINIC

비발치 / 비수술 교정

  • 비발치 교정

    교정치료시 치열의 불규칙 정도나 돌출의 정도가 심하지 않은 경우, 가급적 자연치아는 최대한 살리면서 치열을 고르게 배열하는 비발치 교정으로 해결할 수 있습니다.

비발치 교정 치료방법

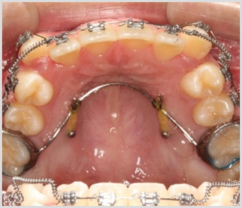
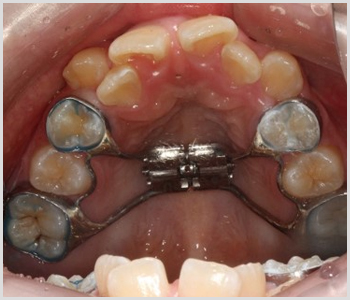
  • 악궁 확장장치

    악궁 확장장치를 이용해
    치아와 치아 사이에 공간을 만들어
    상악을 연결하는 두 개의 뼈 사이를 확장해
    그 공간을 이용하여 교정을 합니다.

  • 치아 후방이동

    교정 스크류를 이용해
    치아전체를 후방으로
    이동시키는 방법입니다.

  • 치간 삭제

    치간삭제는 치아의 옆면을
    다듬어 공간을 얻습니다.
    공간 부족이 심하지 않은
    환자에게 적합한 방법입니다.

  • 비수술 교정

    얼굴의 대칭이 균형이 맞지 않으면 눈이나 광대, 입술라인 등등 여러 곳의 모양이나 위치가 변형현상이 이루어집니다. 이런 안면비대칭을 잡기 위해서 양악수술을 진행하곤 하는데 비 수술 교정만으로 해결 가능한 경우가 있습니다.

비수술 교정 장점

  • 낮은 신체적 부담
  • 수술 후유증 걱정 없음
  • 다양한 치료방식 적용가능
  • 경제적인 비용

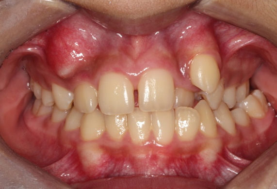
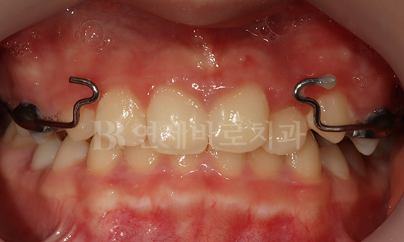
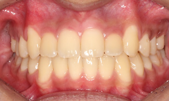
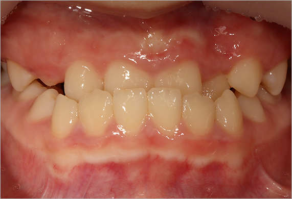
비발치 교정 CASE

  • 연세바로치과는 치료법을 준수합니다. 로그인 하시면 Before를 보실 수 있습니다. LOGIN

  • 연세바로치과는 치료법을 준수합니다. 로그인 하시면 Before를 보실 수 있습니다. LOGIN

비수술 교정 CASE

  • 연세바로치과는 치료법을 준수합니다. 로그인 하시면 Before를 보실 수 있습니다. LOGIN

  • 연세바로치과는 치료법을 준수합니다. 로그인 하시면 Before를 보실 수 있습니다. LOGIN

연세바로치과 교정의 특별함

  • 대한민국 교정전문의 책임교정

    연세바로치과 대표원장은 치과교정과 전문의입니다. 교정전문의의 책임교정을 보여드립니다.

  • 통합적으로 고려한 치료계획 수립

    연세바로치과는 각 분야 별 전문의 협진으로 전 과목 통합적으로 고려한 진료가 가능합니다.

  • 풍부한 임상증례

    풍부한 임상증례 바탕으로 만들어진 노하우. 과잉 진료 없는 치아교정의 정석을 보여드립니다.

  • 디지털 장비를 활용한 프리미엄 교정

    연세바로치과는 대표원장의 수년간 노하우와 다양한 디지털 장비를 활용한 1:1 맞춤형 프리미엄 교정입니다.