본문 바로가기

전후사례

임플란트 어금니 임플란트 치료 #1

페이지 정보

작성자 최고관리자 댓글 0건 조회 781회 작성일 23-05-29 15:26

본문

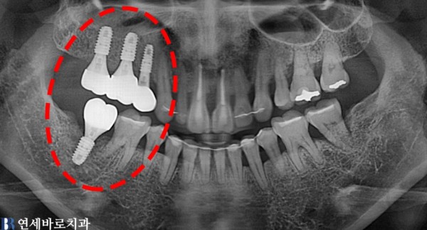
9030295c0d61634940b2479d37dab433_1685341334_2451.jpg
노화가 진행됨에 따라 잇몸병과 치주질환으로 인해
어금니가 흔들려 내원을 하셨습니다.

치료를 해야 할곳이 여럿 있지만 우선적으로 급한 곳 부터
임플란트 치료를 진행을 하였으며, 총 4개의 임플란트를 식립하여
오른쪽(사진상은 왼쪽)을 식사를 하실수 있게 원래의 상태로 회복 하였습니다.

구강외과전문의 원유진 대표원장님의
진료 사례입니다.

(촬영시기: 전:22.10.12 후:23.04.05)

 

댓글목록

등록된 댓글이 없습니다.

연세바로치과교정과치과의원 │ 대표 : 안상인 │ 사업자등록번호 : 414-04-98109
주소 : 경기 고양시 일산동구 정발산로 27 진원프라자 4층 │ 전화 : 031-906-7528