임플란트 양쪽 어금니 임플란트 치료 #2
페이지 정보
작성자 최고관리자 댓글 0건 조회 687회 작성일 23-07-13 15:22본문
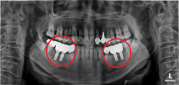
치주질환으로 인해 치아가 흔들리고
더 이상 사용할수 없어 발치를 해야하는 상태로 내원을 하셨습니다.
치아가 빠진상태로 방치한다면 전체 치아의 위치가 바뀌며
다른 치아들도 상태가 악화될 수 있습니다.
임플란트 양쪽으로 총 4개를 식립하여
다시 식사가 가능한 상태로 치료를 마무리 하였습니다.
구강외과전문의 원유진 대표원장님의
진료 사례입니다.
연세바로치과는 의료법을 준수합니다.
촬영시기 : 22.03.29(전), 22.10.11(후)
댓글목록
등록된 댓글이 없습니다.
