치아교정 전체 교정 치료 #4
페이지 정보
작성자 최고관리자 댓글 0건 조회 702회 작성일 23-08-07 18:56본문
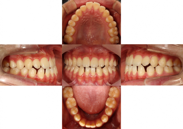
치아 사이 공간들로 인해 음식물로 끼고
윗니와 아랫니가 수직으로 저작하는 수직교합으로 인해 내원하신 환자입니다.
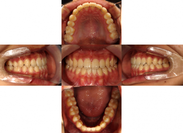
교정 치료를 통해 아래턱이 나온 주걱턱을 개선하였고 수직교합도 정상교합, 치아사이도 이쁘고 가지런하게 치료되었습니다.
교정과 전문의 안상인 대표원장님의
진료 사례입니다.
연세바로치과는 의료법을 준수합니다.
촬영시기 : 22.04.02(전), 23.06.05(후)
댓글목록
등록된 댓글이 없습니다.
