임플란트 어금니 전체 임플란트 #5
페이지 정보
작성자 최고관리자 댓글 0건 조회 610회 작성일 24-01-12 16:28본문
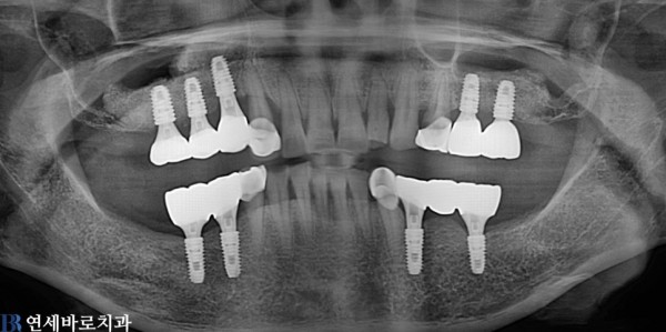
양쪽 어금니가 빠진후 방치한 채로 생활하시다 불편함을 느껴서 내원하신 환자입니다.
빠진 치아를 방치하게 된다면 잇몸뼈가 천천히 소실되어 임플란트를 심을 뼈가 부족하게 됩니다.
뼈이식과 상악동 거상술 임플란트 식립을 하여 총 임플란트 9개를 식립하였습니다.
환자분께서 너무 만족하셨고 치료가 잘 마무리 되었습니다.
구강외과전문의 원유진 대표원장님의 진료 사례입니다.
연세바로치과는 의료법을 준수합니다.
촬영시기: 22.08.10(전), 23.07.20(후)
댓글목록
등록된 댓글이 없습니다.
