치아교정 소아 교정 치료 #6
페이지 정보
작성자 최고관리자 댓글 0건 조회 638회 작성일 24-01-12 17:12본문
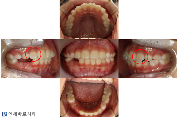
인비절라인을 이용한 소아 교정 사례입니다.
인비절라인의 경우 투명교정장치를 사용하여 기존 교정장치의 불편감과 눈에 보이지않아
심미적으로도 좋은 교정 치료 방식입니다.
After의 아랫니는 유치가 발치된 상태로 영구치가 자라날수 있는 공간도 확보 후 치료를 마무리 하였습니다.
치과교정과 전문의 안상인 대표원장님의 진료 사례입니다.
연세바로치과는 의료법을 준수합니다.
촬영시기: 22.08.08(전) 23.11.04(후)
댓글목록
등록된 댓글이 없습니다.
